
Я всегда верила, что некоторые вещи не меняются с возрастом. Однако возраст может повлиять на здоровье десен, как объясняет Клаудия Хаммонд.
Исторический контекст
Выражение «долго в зубах», возможно, возникло из практики определения возраста лошадей по длине их зубов. В девятнадцатом веке, когда торговцы лошадьми часто скрывали истинный возраст животных, разумные покупатели обратили внимание на состояние зубов. Длинные зубы указывают на рецессию десен, что может означать, что лошадь старше, чем заявлено. Но что же происходит с человеческими зубами?
Рецессия десен: статистика и факты
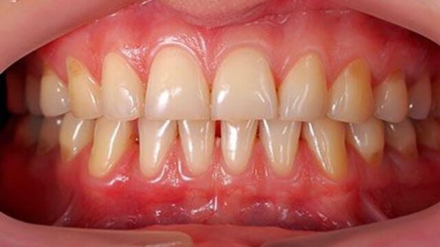
Рецессия десен, как правило, более распространена у пожилых людей. В одном исследовании в США, где участвовало почти 10 000 человек, 38% людей в возрасте 30-39 лет имели ту или иную степень рецессии десен, в то время как среди 71% людей в возрасте 50-59 лет и 90% в возрасте 80-90 лет наблюдались подобные проблемы.
Тем не менее, это не означает, что старение само по себе является причиной этого состояния. Рецессия десен — это длительный процесс, который может начинаться еще в подростковом возрасте и быть вызвано множеством факторов.
Факторы риска
Важно учитывать, что у некоторых людей десны истончаются и становятся более уязвимыми к рецессии. Некоторые факторы, которые могут способствовать этому состоянию, включают:
- Несоответствующая гигиена полости рта
- Наличие скученности или неправильного прикуса зубов
- Агрессивная техника чистки зубов
- Курение
Налет, состоящий из липкой пленки бактерий, постоянно образуется на зубах. Если его не удалять, это может привести к заболеваниям десен, оказывая долгосрочное влияние на здоровье зубов.
Правильная техника ухода за зубами
Как я чищу зубы, также имеет значение. Использование агрессивной техники с жесткой щеткой может привести к истончению десен. Стоматологи обычно рекомендуют применять мягкую щетку и соблюдать осторожность при чистке, чтобы избежать чрезмерного давления. Повреждения десен накапливаются со временем, и многие могут не замечать изменений до тех пор, пока не заглянут в зеркало.
Специалисты отмечают, что исследование о влиянии техники чистки зубов и жесткости щеток на состояние десен все еще требует дополнительных контролируемых исследований. Некоторые стоматологи связывают агрессивную чистку с ухудшением состояния десен, при этом курильщики также находятся в группе риска.
Исследование среди стоматологов
Интересно, что одно исследование из Испании изучало группу стоматологов, которые, казалось бы, должны иметь идеальную гигиену полости рта. Однако 7,5% из них признали, что чистят зубы лишь один раз в день. Через десять лет врачи замечали незначительные изменения в состоянии десен, но количество затронутых зубов увеличивалось.
Забочусь о здоровье десен
Это состояние требует серьезного внимания не только с косметической точки зрения. Когда корни зубов обнажены, возникает чувствительность и увеличивается риск кариеса. В зависимости от степени рецессии десен, лечение может варьироваться от простого удаления кариеса до установки коронок и хирургического вмешательства.
Если вы планируете покупать лошадь — проверьте ее зубы. Но в отношении людей старение не является единственной причиной рецессии десен. Повреждения накапливаются и становятся заметными со временем.
Следите за своим здоровьем и не забывайте обращаться к специалисту за консультацией, если у вас есть сомнения или вопросы касательно ваших десен и зубов. Берегите свою улыбку!
Если вам понравилась эта статья, подпишитесь, чтобы не пропустить еще много полезных статей!
Вы также можете найти наши материалы в: